脑子越大越好吗有些人只有一层1毫米厚脑组织,智商高达126

“脑子是个好东西, 可惜你没有。”
“你家孩子脑袋真大,以后肯定聪明。”
“脑袋大,都是水,一点没脑子。”
这些语境,最熟悉不过了,不过是朋友家人之间的调侃和交流,但也透露出一个信息:我们都潜意识地认为,脑子大就会聪明。

脑子确实是个好东西。
几个世纪以来,人类之所以能在顶端屹立不倒,并以惊人的速度快速发展进化,大脑功不可没,因此,一直以来,人类也将大脑大小与智力联系在了一起。
尽管在地球上,人类的智慧无可比拟,但人类的大脑并不是最大的,世界上大脑最大的是抹香鲸,大脑体积约为8000立方厘米,是人类大脑的5倍。

脑体质比也不是世界最高的,人脑约占体重的2%,但有些老鼠这一比例高达10%。
根据化石和早期的头骨研究,科学家认为从原始祖先到如今的现代人类,人类大脑确实增长了,也变更聪明,但增长大部分发生在过去的2百万年间,在最近的1万年,人类大脑反而有缩小的趋势。

脑子变小是个双刃剑,是好是坏,难以下定论?
科学家认为,人类大脑的平均体积,已经降低了10%,从1500立方厘米降到了1359立方厘米。
当然,这种降低并不是意味着我们比我们的祖先要笨,因为如今我们面对的压力和生活环境远比过去复杂,因此随着大脑的进化,我们的大脑拥有了更高效的工作模式。
但科学家也认为,我们不能因此掉以轻心。

我们先看一个真实的案例。
近日,一支南极科考队接受了一项大脑检查。
9名科考人员在南极洲居住了14个月,面对南极与世隔绝,单调且孤独的环境,经过大脑多项检查后发现,与同龄同性人相比,他们的大脑分别萎缩4%-10%不等,认知和交往能力均减弱。

我们再来看一下未来人类Mindy,她是科学家经过多重数据模拟出来的2100年人类,她的外形让很多人不忍直视:
驼背,脖颈前倾,手指变异更方便抓手机,两套眼睑,更为重要的是,由于久坐的生活习惯,导致她大脑萎缩。
这些案例,不正是我们“独居青年”正在面对的生活窘境吗?孤独,依赖电子设备,不喜面对面交流。
由此可见,大脑变小,并不意味是个不好的现象,但至于最终获得何种效果,这就要自己的造化了。

最坏打算,若我们大脑一直缩小,甚至没有大脑,我们能生活吗?
很多人认为,这是天方夜谭,根本不可能,但事实上,这样的案例是存在的。
一名44岁的公务员,在税务局上班,一天他觉得左腿有些不舒服,去医院看病,他做了脑部扫描,查看片子后惊讶地发现,这名男子的大脑少得可怜,大部分颅腔充满了脑脊液,只有少量脑组织排列在颅腔内。
更为意外的是,尽管大部分脑组织缺少,他看起来依然很健康,没有精神残疾,还是一名公务员,尽管智商低于正常水平,但是并未影响他在当地税务局执行任务的能力。

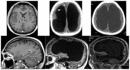
另一个“无脑”案例:一个头部异常大的患者。
尽管如此,他的生活并未受到影响。经过检查后发现,他也是一个脑组织缺少患者,只有一层约1毫米厚的脑组织,里面充满了脑脊液,但脑干是正常的。
因此,除了头大,他的呼吸、吞咽、消化、眼球运动和心跳功能都是正常的,不仅如此,他的智商高达126,并获得了数学一级荣誉学位。

总的来说,没有大脑,或者缺少大部分脑组织的情况确实存在,但是这样的人,由于脑子里有“积水”,因此很容易成为大头娃娃,出现智力障碍癫痫等症状。
但并不是所有人都是这样,有些患者先天不足,后天仅有的那么一点点脑细胞,却发挥出了一般人都有的功能,甚至智商超过了正常人。

最后
脑子是必不可少的吗?显然是肯定的。
大脑正在向更高效和更精简的工作模式发展,体积虽然有缩小的趋势,但智商不减。
同样是缩小,但有的人大脑功能却减退了,大脑是是非常有意思的器官,用了会进化发展,就算脑细胞只有正常水平的10%,智商仍在线;不用则会后退,就算拥有完整大脑,认知和学习能力也会下降。
大脑是个好东西,希望我们都能拥有完整的大脑,而且能多动脑,保持大脑活跃度,否则,智商和能力下降都是有可能的。