吸烟的危害-告诉你吸烟的危害到底有多大!
先从一组数据中了解吸烟的危害有多大:据世界卫生组织调查,在工业发达的国家中有四分之一的癌症者,吸烟的占90%;死于支气管炎的,吸烟的占75%;死于心肌梗塞的,吸烟的占25%。父亲不吸烟的,子女先天畸形的比率为0.8%;父亲每天吸烟1~10支的其比率为1.4%;每天吸烟10支以上的比率为2.1%,可见吸烟对人身体的损害有多么大!接下来具体说一下吸烟对身体会造成哪些严重的危害!
女性吸烟会影响生理,出现月经紊乱、流产、绝经提前等症状,并使绝经后的骨质疏松症状更加严重。

辐射:香烟中本身已含有了大量的致癌物质或有毒物质,已知的至少有250种,但现在最值得担心的是钋210,这是一种具有放射性的物质,如果每天抽1包半的香烟,一年下来,受到的辐射量相当于做了300次X光胸透片!
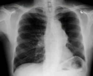
致癌:吸烟是肺癌的重要致病因素之一,特别是鳞状上皮细胞癌和小细胞未分化癌。吸烟者患肺癌的危险性是不吸烟者的13倍,如果每日吸烟35支以上,则其危险性比不吸烟者高45倍。吸烟者肺癌死亡率比不吸烟者高10~13倍。肺癌死亡人数中约85%由吸烟造成。

严重影响心、脑血管的健康:吸烟者的冠心病、高血压病、脑血管病及周围血管病的发病率均明显升高,冠心病发病率吸烟者较不吸烟者高3.5倍,冠心病病死率前者较后者高6倍,心肌梗塞发病率前者较后者高2~6倍!

呼吸道受损害:吸烟是慢性支气管炎、肺气肿和慢性气道阻塞的主要诱因之一,长期吸烟可使支气管粘膜的纤毛受损、变短,影响纤毛的清除功能。

侵害消化道:吸烟可引起胃酸分泌增加,一般比不吸烟者增加91.5%,并能抑制胰腺分泌碳酸氢钠,致使十二指肠酸负荷增加,诱发溃疡。
阅读量:133
阅读量:36
阅读量:53
阅读量:114
阅读量:79